-
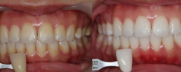
美齒專科是什麼?
量身打造,綻放獨一無二的美
美齒專科是專為改善牙齒顏色、形狀、排列而設計的專業療程,目的在於幫助您擁有自然、和諧美麗的笑容。
謝承祐牙醫師秉持「量身打造」理念,根據您的臉型、唇形、牙齒比例,專屬設計個人的微笑曲線,讓每一個細節都精緻動人。 -
首頁 > 美齒專科
美齒專科服務項目
-
全瓷貼片
微創修復牙齒外觀
打造亮白整齊的牙齒線條 -
冷光美白 /
短時間內快速提升牙齒亮白度雷射美白 -
全瓷冠
適合結構受損或嚴重變色的牙齒 -
數位微笑設計(DSD)
客製化打造屬於您的微笑比例
微笑曲線設計
美齒專科療程流程
-
- STEP1初診評估與需求討論
- 量身了解需求,建立專屬療程方向
-
- STEP2完整口腔檢測
- 拍攝口腔照片、X光與數位取模,掌握精準資訊
-
- STEP3數位微笑設計
- 模擬理想笑容,提前預見成果
-
- STEP4專業療程執行
- 進行貼片安裝、美白等客製化治療
-
- STEP5療程完成與保養追蹤
- 提供保養建議,定期追蹤維持美麗笑容
美齒專科的優勢
-
專屬微笑設計
客製化微笑設計,符合個人臉型與牙齒比例
-
專業材料應用
臨床醫療認證溫和美白藥劑,精選全瓷材質
-
數位精準療程
數位化設計+高階設備,療程精準舒適
-
自然微笑美學
注重牙齦線條與唇齒協調,微笑更自然
美齒專科常見問題 Q&A
-
Q1貼片會傷牙齒嗎?
採微創方式製作,僅修磨極少牙齒表層,不會傷害牙齒結構,且完整保留牙齒強度。 -
Q2美白效果可以維持多久?
視個人飲食與清潔習慣而定,一般可維持1~2年,定期保養可延長效果。 -
Q3療程需要幾次?
簡單療程如冷光美白一次即可完成;貼片、全瓷冠約需2-3次看診。 -
Q4美齒專科適合哪些人?
適合牙齒染色、縫隙、形狀不滿意或想提升笑容美感的您。 -
Q5費用大約多少?
視材質與設計需求而定,謝醫師會在評估後提供完整報價與說明。
謝承祐牙醫師專業背景
專注美齒多年,給您最安心的笑容呵護
-
多年美齒臨床經驗
-
參與國際數位微笑設計(DSD)專業課程
-
豐富全瓷貼片與微笑設計成功案例
-
立即預約美齒專科諮詢
想擁有專屬於自己的自信笑容嗎?
謝承祐醫師用心傾聽您的需求,為您量身打造最適合的微笑設計!
立即預約
歡迎隨時聯絡我們,讓改變從今天開始! 